Board Certified Dental Implant Specialists

Hyderabad

0% payment plan is available via CareCredit

Dr. Praveen Kurapati
Implant dentist in Kondapur/ Madhapur

Dr. Praveen Kurapati is Kondapur/ Madhapur's leading dental implant specialist, renowned for expertise in cutting-edge techniques and procedures. As a Board Certified Periodontist, Dr. Praveen Kurapati has earned recognition for exceptional implant dentistry, showcased in prominent media outlets.

At our state-of-the-art dental implants center, we leverage the latest advancements in Hyderabad to deliver unparalleled care. Our arsenal of innovative technologies includes high-precision microscopes and cutting-edge lasers.

We pride ourselves on using only the finest medical-grade titanium or titanium alloy for tooth implants, paired with the latest bone grafting materials to ensure optimal bone regeneration.

With experience, precision, and high-quality materials, we craft aesthetically perfect tooth implants that exceed expectations.

Same Day Dental Implants
Computer Guided Surgery & Teeth Replacement

Experience the thrill of a new tooth without the wait. At Nobel implant center in Kondapur/ Madhapur, we utilize advanced minimally invasive procedures to enhance bone quality, making immediate implant placement a reality. Our patients in Hyderabad can now enjoy same-day restorations, eliminating the need to wait five to eight months for affordable dental implants to stabilize. We pride ourselves on staying at the forefront of evidence-based technology, leveraging the latest equipment available in India to ensure exceptional results. Our commitment to innovation and patient satisfaction has made same-day restorations the standard at our implants center.

Teeth in an Hour

teeth in an hour dental implants

Experience the transformative power of dental implants in just one hour! What once took months to complete can now be achieved in approximately one hour.

This exceptional procedure is ideal for patients missing a single tooth or a few teeth next to each other. You will leave our Nobel implant center , Kondapur/ Madhapur, with your permanent teeth that are fully functional and look highly aesthetic.

The benefits of our one-hour dental implant procedure include:

  • The actual procedure is generally incision-free, so there is no need for stitches
  • The procedure is carried out under just local anesthetic
  • Minimal swelling, allowing you to return to work and everyday life the very next day
  • We use Digital WaxUP to create the final teeth, ensuring you're never without teeth
  • We use computer-guided tooth implant surgery to position the implants in the EXACT position, making the tooth natural and hygienic

There's no waiting period; replace missing teeth immediately with dental implants in one hour..

All-On-Four

all on 4 dental implants

Discover the transformative power of All-on-Four at Nobel implant center, Kondapur/ Madhapur. This highly affordable solution allows you to replace removable dentures with a fixed arch of teeth, restoring your confidence and smile.

The All-on-Four technique requires only four dental implants to secure a complete arch of lower teeth, while five to six implants are typically needed for upper teeth. However, the key to success lies in meticulous planning and precision.

At Nobel implant center, Kondapur/ Madhapur, we utilize advanced technology, including:

  • Three-dimensional X-ray (CT SCAN) for precise implant placement
  • Digital teeth positioning for optimal aesthetics
  • Guided Implant Surgery for minimally invasive procedures

The All-on-Four technique offers a significant advantage: patients with substantial bone loss can avoid extensive surgeries and bone grafting. By angling the implants, we can bypass the sinus in the upper jaw and the nerve in the lower jaw, ensuring a smoother, more efficient process. Say goodbye to removable dentures and hello to a fixed arch of teeth with All-on-Four dental implants at Nobel implant center, Kondapur/ Madhapur.

Teeth in a Day

dental implants in one day

Introducing Teeth in a Day at Nobel implant center, Kondapur/ Madhapur - a revolutionary treatment also known as Smile in a Day. This innovative technique enables you to replace missing teeth or stabilize loose dentures in just a single day.

Our expert team plans your treatment in advance using advanced diagnostic imaging equipment and CT Scans, ensuring a seamless experience.

The benefits of Teeth in a Day include:

  • No discomfort after treatment
  • No need to wear uncomfortable dentures while dental implants heal
  • Most patients leave with new teeth secured to their implants by Cross-arch bridges

At Nobel implant center, Kondapur/ Madhapur, you can transform your smile in just one day. Say goodbye to missing teeth or loose dentures and hello to a confident, radiant smile with Teeth in a Day dental implants.

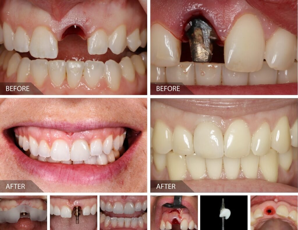
Front Tooth Implant

front tooth implants

Restore your smile with a front tooth implant at Nobel implant center, Kondapur/ Madhapur. When a front tooth is beyond repair, an implant offers a superior, long-lasting solution that protects your jawbone and mimics the look and feel of your natural tooth.

Our front tooth dental implants are designed to replicate the root of a real tooth, providing essential stimulation to the alveolar bone. This prevents bone loss, ensuring your jawbone remains strong and healthy.

At Nobel implant center, Kondapur/ Madhapur, our expert team pre-plans your treatment to ensure a seamless experience. The actual surgery is quick, often requiring only local anesthetic. You'll receive a temporary tooth on the same day, and once healing is complete, your new permanent front tooth will be crafted and fitted.

Replace a missing front tooth and safeguard your jawbone with a front tooth implant at Nobel implant center, Kondapur/ Madhapur.

Full Mouth Implants (All on 6)

Full Mouth, all on 6 dental Implants

Transform your smile with Full Mouth Dental Implants (All on 6 Dental Implants) at Nobel implant center, Kondapur/ Madhapur. Our expert team uses this innovative technique to restore the entire upper or lower arch of teeth in one complete bridge, also known as a Fixed Hybrid.

This comprehensive solution allows us to replace 10 or 12 teeth using multiple dental implants for support, providing a secure and natural-looking smile. The bridge is either screwed or cemented in place, ensuring a comfortable and confident fit.

Ideal for patients with failing crown and bridge work, Full Mouth Dental Implants offer a permanent solution. Our team carefully plans the implant surgery based on your unique bite, teeth relationship to the opposing jaw, and function.

To ensure precision, we utilize:

  • Guided Implant Surgical Stent
  • Computer-Aided Milling

The full arch bridge is crafted from high-quality zirconia or porcelain, providing a metal-free, natural-looking smile that reflects light.

Discover how Full Mouth Dental Implants can transform your smile at Nobel implant center, Kondapur/ Madhapur.

Single Tooth Implant

Single tooth implants

Replace a missing tooth with confidence using a Single Tooth Implant at Nobel implant center, Kondapur/ Madhapur. This straightforward treatment offers a quick and effective solution, with appointments typically being relatively short.

To ensure optimal results, our expert team conducts extensive diagnostic tests, verifying adequate bone width and height to accommodate the new tooth.

Benefits of Single Tooth Implants include:

  • Temporary tooth placement possible during surgery (except for molar teeth)
  • More cost-effective than traditional bridge options
  • Minimally invasive surgery performed under local anesthetic
  • Small incision required

At Nobel implant center, Kondapur/ Madhapur, our team is dedicated to delivering exceptional results. Discover how a Single Tooth Implant can restore your smile and confidence.

Multiple Teeth Implants

Multiple teeth implants

Restore your smile with Multiple Teeth Implants at Nobel implant center, Kondapur/ Madhapur. This effective solution supports multiple missing teeth next to each other or failing bridges, typically ranging from three to five teeth. Our expert team places a minimum of two implants to secure 3-4 units of teeth, providing an economical and long-lasting solution.

The process typically takes three months, assuming adequate bone height and width are present. During this time:

  • We provide a temporary prosthesis, enabling you to eat and speak normally
  • Our team ensures adequate room for the dental laboratory to craft a functional bridge

Multiple Teeth Implants offer a reliable alternative to loose, uncomfortable partial dentures. Discover how this affordable solution can transform your smile at Nobel implant center, Kondapur/ Madhapur.

Why Choose Us?

Specialists all together in one
convenient location

Periodontist / Implant Surgeon

Dr. Aditya Mengji specializes in advanced procedures such as immediate full mouth restoration & bone regeneration

Experienced Endodondist

Dr. Rohita Sunkara specializes in full mouth reconstruction by providing function & aesthetics to create a natural smile

CAT scan & Dental Laboratory

The combination of digital design meshed with CT Scan providing precise planning & same day restorations

Dental Anesthesiologist

No Pain, No Discomfort, No Fear. Overcome your dental anxiety with sedation by an expert anesthesiologist

Expert Dental Implant Specialist

  • Board-certified periodontist and seasoned implantologist with a passion for delivering exceptional results
  • 10+ years of experience in placing implants, boasting an outstanding success rate that surpasses industry standards
  • Published author in renowned, peer-reviewed journals, showcasing expertise and thought leadership in the field
  • Extensively trained in cutting-edge implant placement techniques, ensuring the latest advancements in dental technology are always available to our patients

Dr.Praveen Kurapati is passionate about delivering exceptional tooth care to his patients. With extensive training in periodontal therapy, including tooth implants, bone grafting techniques, and periodontal plastic surgery, our expert periodontist provides top-notch care.

In cases of tooth extraction, Dr.Praveen Kurapati utilizes atraumatic extractions to preserve bone for immediate implant placement, ensuring the latest and most desired techniques are used to protect the bone.

Recognized as one of India's Top Periodontists and a leading Dental Implant Specialist in the region, Dr.Praveen Kurapati is an award-winning expert who offers a comprehensive range of periodontal procedures to treat conditions affecting the gums and facial bones.

At Nobel implant center, Kondapur/ Madhapur, our patients benefit from predictable implant-supported restorations for tooth replacement. Our implantologists are dental experts who provide personalized treatment plans, ensuring each patient receives tailored care.

Experience exceptional dental care with Dr.Praveen Kurapati at Nobel implant center Kondapur/ Madhapur.

15years
Experience
10K +
Implants Placed
250 +
5-Stars Reviews

State-Of-The-Art
Treatment Planning for Affordable Dental Implants

At Nobel implant center Kondapur/ Madhapur, we utilize advanced digital workflows to enhance diagnosis, case planning, and surgical execution, resulting in more predictable and successful implant outcomes with minimized risk of complications.

Data
Analysis
Data Capture
(Via CBCT & Intraoral Scanner)
Implant
Planning
Surgical
Guide
Implant Based
Restoration Design
Fabrication
(Or Manufacturing)
Characterization
Final
Delivery

Advanced Dental Technology
With Laser Precision

Laser gum
Treatment

Non-invasive Treatment of
failing Implant

t

Growth factor
Enhancement regeneration

Cone-beam Computed
Tomography (CBCT)

At Nobel implant center Hyderabad, we utilize the latest Cone Beam CT (CBCT) scanners and high-precision planning software to ensure accurate placement of dental implants, followed by immediate prosthetic temporization. Our advanced diagnostic capabilities enable precise evaluation of bone quality and depth, guaranteeing high success rates and predictability for our patients.

Microscope-assisted dental implants placement

Advanced Tech
Microscope-Assisted Dental Implants Placement

PRECISION IMPLANT DENTISTRY

Most dental implant specialists in Hyderabad use simple loupes to see a slightly larger magnification of 2X.

We recognize that quality and precision are critical to producing aesthetically perfect oral surgery without scarring or large incisions. Therefore, in our Nobel implant center for dental implants, we use a high precision microscope (8X-16X) and loops 4.5X that have the potential to enhance a dental implant specialist's vision to unprecedented levels.

Significant magnification has become a standard and necessary tool in Nobel implant center for implant surgery, Kondapur/ Madhapur decreasing swelling and resulting in faster healing.

Meet The Doctors

Why Patients Choose Us?

★★★★★

I was really worried about getting dental implants, but the team at Nobel implant center Kondapur/ Madhapur made me feel so comfortable. They explained everything clearly and made sure I was okay throughout the procedure. Now, I can smile without feeling shy - it's a great feeling!

Nicholas K.

★★★★★

I lost a tooth a few years ago, and I've been struggling with the gap ever since. Dr. [Last Name] and the team at Nobel implant center Kondapur/ Madhapur helped me find a solution that works for me. My new implant feels natural, and I'm so relieved to have my smile back!

Robyn R.

★★★★★

I've had dentures for years, but they never felt quite right. After getting dental implants at Nobel implant center Kondapur/ Madhapur, I can finally eat and speak without worrying about my teeth. It's made a huge difference in my daily life!

Stephen P.

★★★★★

I did a lot of research before choosing Nobel implant center Kondapur/ Madhapur for my implant procedure. I'm so glad I made the right choice! The team was professional, friendly, and made sure I was comfortable throughout the process. I'm really happy with the results!

Stephen P.

Painless dentistry
With Nobel implant center Dentistry could be painless

At Nobel implant center Kondapur/ Madhapur, we give our patients countless reasons to smile by offering the latest advancements in dental implant technology and techniques in the heart of Kondapur/Madhapur, Hyderabad. Our state-of-the-art facility prioritizes patient care and comfort above all else. For more information or to schedule a consultation with our specialists, contact our Kondapur/ Madhapur office today!

State of the art affordable dental implants center in
the heart of Kondapur/ Madhapur

Our modern facility is fully equipped to make your dental implant journey smooth, pleasant, and memorable.

Implants dentistry on Kondapur/ Madhapur , Hyderabad

Implant dentistry at its best, now in Kondapur/ Madhapur, Hyderabad - Nobel implant center Kondapur/ Madhapur. Our primary mission is to deliver comprehensive periodontal and implant therapy to help you save your natural teeth and rebuild function and aesthetics. With expertise, high-quality materials, and precision, we create aesthetically perfect dental implants. Trust Nobel implant center Kondapur/ Madhapur for exceptional implant care, offering best-in-class treatments to patients from across Hyderabad and beyond.

Request
Consultation
Book Appointment